An x-ray of a cross section of lungs.
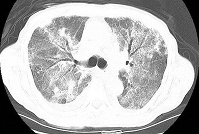
ARDS secondary to pulmonary coccidioidomycosis

This is a more severe form of the disease that can happen in a setting of high inoculum exposure or with accompanying immunosuppression and is often seen in patients with risk factors mentioned in the table. Patients are appearing ill, with mild to moderate respiratory distress, often with fever. Radiographic findings are usually consistent with multilobar diffuse infiltrates and adenopathy. Serious complications such as pleural effusions, empyema, and acute respiratory distress syndrome (ARDS) are often seen (1). Even with antifungal therapy, clinical improvement in such a disease may be slow, and patients often require significant and prolonged supportive care.

ARDS as a consequence of coccidioidal infection carries a very high mortality rate. An amphotericin B formulation is frequently used until clinical improvement occurs, followed by an azole for at least one year or longer. In selected individuals with ongoing immunosuppression or irreversible conditions, long-term maintenance therapy with an azole is suggested. The role of adjunctive corticosteroid therapy in coccidioidomycosis-associated ARDS has not been defined, and considerable debate exists between different clinicians.

Risk Factors for Severe or Disseminated Coccidioidomycosis

  • Filipino or African ethnicity
  • HIV/AIDS
  • Immunosuppressive medications
  • Prednisone
  • TNF-α inhibitors
  • Chemotherapy
  • Organ transplantation (tacrolimus, etc.)
  • Diabetes mellitus
  • Pregnancy
  • Cardiopulmonary disease
  • Complement Fixation titer ≥ 1:16

References

  1. Thompson GR, 3rd. Pulmonary coccidioidomycosis. Seminars in respiratory and critical care medicine 2011; 32(6): 754-63.